#Thieme未来星计划荣誉推出神经外科专题,我们将与未来星计划的小伙伴们持续推荐解读与神经外科学相关的论文与研究,欢迎关注。同时,欢迎感兴趣的小伙伴加入我们。
本期推荐 & 解读 BY
亚东 | 首都医科大学
↓ 神经外科专题丨182
根据世界卫生组织(WHO)的定义,病态肥胖(morbid obesity,MO)是指女性和男性的体重指数(BMI)≥40 kg/m2或≥35 kg/m2,并伴有与肥胖相关的健康问题。据估计,2005-2014年美国成年人MO患病率达7.7%。自1985年以来,MO已被正式定义为一种慢性疾病。肥胖可导致多种代谢并发症;肥胖患者罹患其他慢性疾病的风险更高,如高血压、胰岛素抵抗、糖尿病和心血管疾病等。此外,肥胖还与致癌风险增加相关。肥胖是乳腺癌、前列腺癌或结直肠癌的危险因素。各种因素均可能导致肥胖的发生,包括遗传、环境、社会经济和心理因素。目前的治疗方案包括节食、体育锻炼、药物治疗、心理治疗和手术治疗。
脑深部电刺激(Deep brain stimulation,DBS)是一种安全有效的治疗方法,适用于患有致残性运动障碍的患者,如帕金森病(PD)、肌张力障碍、特发性震颤(ET),以及神经精神疾病,如抽动秽语综合征(TS)、重性抑郁障碍(MDD)、强迫症(OCD)、神经性厌食症(AN)或癫痫。DBS是治疗不同食欲障碍和MO的新方向。MO的DBS治疗主要是3个神经靶点:外侧下丘脑(LH)、腹内侧下丘脑(VMH)和伏隔核(NAc)。LH被认为是摄食中心;大量动物模型研究表明,LH病变可导致摄食量减少、体重减轻和代谢速率加快。VMH被称为饱食中心,其病变已被证明会影响肥胖动物的体重。NAc是位于腹侧纹状体的解剖结构,在奖赏系统、动机和行动中起主要作用。在采用NAc作为立体定向靶点的动物模型研究中可以观察到摄食减少和体重减轻。本综述的主要目的是基于已发表的研究和证据,探讨MO患者DBS结局。此外,还总结了在重度肥胖患者DBS的适应症。
Journal of Neurological Surgery Part A
Stapińska-Syniec et al.
中文内容仅供参考,一切以英文原文为准。
结果

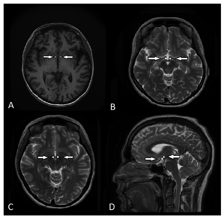
图1:(A) 1.5t MRI T1加权像显示伏隔核(NAc)。NAc使用白点标出。NAc位于内囊的腹侧。(B) 1.5 t MRI T2加权图像上,腹内侧下丘脑(VMH)位于视神经后方,乳头体前方,前连合下方。(C)下丘脑(LH) 外侧分界。LH位于视神经和交叉上方,穹隆下方。(D)矢状位上标记的白点为VMH和LH。VMH位于LH的内侧和腹侧。
讨论
2013年,Whiting等人发表了一项研究,其中3例顽固性肥胖患者在LH双侧植入了DBS电极。术后患者体重减轻,但运动障碍患者使用的刺激参数未见明显的体重减轻趋势;但是,当植入单侧DBS时,测量的静息代谢率增加。Rezai等对3例患有病态、难治性肥胖和并存精神疾病的患者进行了NAc双侧DBS植入。只有1例患者完成了为期3年的随访,BMI从55.7 kg/m2降至39.3 kg/m2。Franco等报道了Prader-Willi综合征的4个病例系列。双侧LH植入DBS电极6个月后,体重平均增加9.6%,BMI平均增加5.8%。
由于其患病率的不断上升,肥胖已成为全球关注的健康问题。当保守治疗失败时,手术是必要的。减重手术的主要目的是限制进食或促进短肠综合征的发生。虽然减重手术被认为是一种非常有效的治疗方式,但也存在显著的不良反应风险。被认为是减重手术金标准的腹腔镜Roux-en-Y胃旁路术可减轻65%的体重,超过85%的患者体重减轻并维持最初多余体重的50%;但是,该手术的远期失败率为10%-15%。此外,此治疗可能对某些患者无效。
DBS已被证明对许多运动障碍,如帕金森病和肌张力障碍疾病非常有效,而且随着在神经精神疾病的治疗中越来越受欢迎,许多研究试图将这种方法也应用于其他疾病。基于目前在肥胖动物模型和人体的研究,DBS主要有3个立体定向靶点:NAc、VMH和LH。NAc是纹状体的一部分,位于内囊前肢下方,视神经上外侧,视前区前方。NAc由主要向边缘系统投射的壳核和向基底神经节投射的核团组成。在动物模型研究中,NAc DBS高频刺激可导致热量摄入限制和体重减轻。VMH是位于视神经后方、乳头体前方、前连合下方的靶点。动物模型研究结果显示低频刺激VMH导致体重和脂肪下降,而高频刺激导致摄食量增加。LH是位于穹窿下方、视神经和视交叉上方的一个小靶点。动物模型研究表明,低频率刺激LH导致黑色素浓缩激素和食欲素的增加,从而诱导食物寻求行为,而高频刺激LH可导致体重下降。
MO患者应用DBS的适应症尚无统一标准。在目前研究中,主要的纳入标准是根据WHO标准诊断为MO;其他标准包括年龄≥18岁,慢性疾病,减重手术失败,目前体重稳定6个月。排除标准是可治疗的MO基础病因以及活动性神经系统疾病(如运动障碍)。另一个排除标准是排除抑郁症以外的活动性精神障碍。MRI上可见结构改变或有脑外科手术史的患者也应除外。此外,MRI检查的禁忌证(如金属、起搏器或当患者无法适应MRI检查时)是DBS的另一项排除标准。
结论
在某些情况下,MO标准化治疗方案无效时,应实施新的治疗方法。DBS是治疗MO一种有前景的治疗方法,但需要更多的研究纳入更多的个体,更长时间的随访来获得更可靠的疗效和安全性结果。
Journal of Neurological Surgery (JNLS) 为同行评审期刊,发表原创研究、综述论文和涵盖神经外科各个方面的技术说明。JNLS的重点包括显微外科手术以及最新的微创技术,如立体定向引导手术、内窥镜检查和血管内手术。它分为两部分,交替出版。Part A涵盖纯粹的神经外科专题,Part B专门介绍颅底手术技术和方法。
JNLS目前是几个国家和国际神经外科和颅底学会的官方期刊。
JNLS Reports是Journal of Neurological Surgery的姊妹期刊,为开放获取神经外科和颅底病例报告期刊。
