A Clean Cut: Minimally Invasive Mitral Valve Replacement after Heart Transplantation
心脏移植后的微创二尖瓣置换术
Kremer et al.
**中文内容仅供参考,一切以英文原文为准。
在进行首次心脏移植 50 年后,移植后生存率不断提高。成年患者的平均生存期为 10.7 年;儿童患者的平均生存期为 16.1 年。死亡的主要原因仍然是原发性移植衰竭、感染和多器官衰竭。随着生存率的提高,心脏病变(如心脏同种异体移植血管病变和瓣膜病)的发生将更加频繁。
本例报道了一名心脏移植成功 10 年后二尖瓣狭窄的患者。由于严重的瓣膜变性,作者通过右侧开胸手术的微创入路进行了二尖瓣置换术。
病例描述
一名 50 岁女性在 2008 年 10 月因扩张型心肌病接受心脏移植治疗后因二尖瓣梗阻而出现进行性心衰。术后首次超声心动图显示心脏泵血功能正常,无排斥反应。
标准免疫抑制方案包括泼尼松、麦考酚酯和他克莫司的联合用药。然而,由于持续性腹泻,麦考酚酯在2009 年被替换为依维莫司。自 2010 年以来,患者一直在接受他克莫司和硫唑嘌呤的免疫抑制治疗。
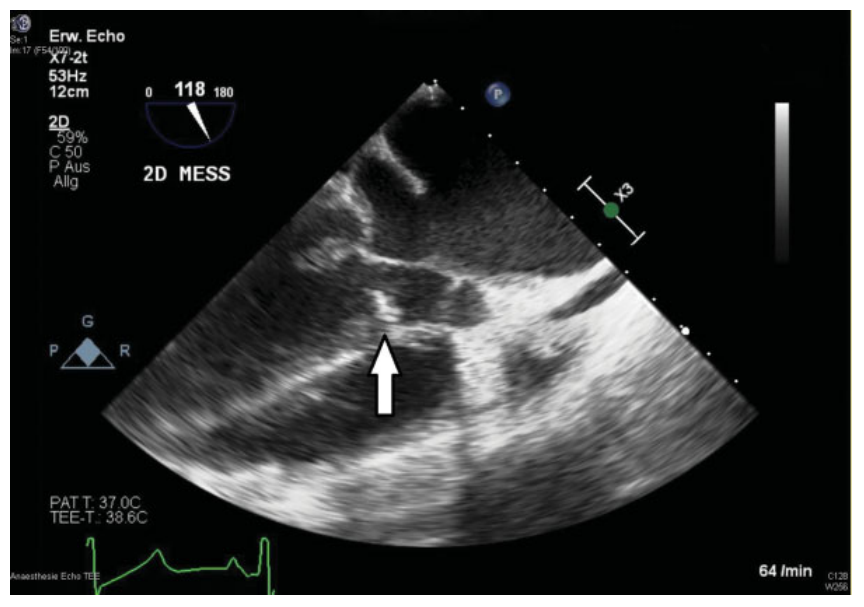
2012 年,检测到伴有轻度狭窄的二尖瓣圆顶。2018 年针对二尖瓣狭窄的择期球囊瓣膜成形术未成功(瓣孔面积为1.3cm2,峰压梯度为24mmHg,平均压力梯度为14mmHg)。患者因瓣膜置换术和左心室流出道梗阻入院 (峰压梯度为35mmHG,平均压力梯度为19mmHg)(图 1)。

图1. 左心室流出道瓣膜下膜(用箭头标记)的术中经食管超声心动图,尺寸为 1.0x0.5 厘米,可能与二尖瓣前叶相连。
多次冠状动脉造影显示已有的左回旋支动脉狭窄从25% (自心脏移植以来) 加重至 50% 至 75%,随后进行了经皮腔内冠状动脉成形术并放置了双药洗脱支架。
手术技术
在2008年心脏移植期间进行开胸手术后,在利用内窥镜并经右股骨插管进行体外循环的条件下,我们进行了右侧微创开胸手术。经食管超声心动图证实左心室流出道中有瓣下膜,尺寸为1.0x0.5 cm,可能与二尖瓣前叶相连(图 1)。左心室流出道中的侵入性峰压梯度为 25mmHg。
在乳房下皱褶皱处的最小皮肤切口打开第五肋间隙。通过闭塞导管进行主动脉夹闭、前向注入心脏停搏液和主动脉根部通气.。在球囊充气后,通过注入心脏保护液使心脏停搏。
切开左心房后,二尖瓣和瓣膜下膜被切除(图 2)。二尖瓣瓣叶提示严重的心内膜增厚。左心室流出道的瓣膜下膜也被确认切除。由于心内膜组织的韧性,在征得患者同意后,手术用生物假体替代了二尖瓣并植入了一个 27 毫米二尖瓣假体。
主动脉夹闭时间为 81 分钟,总CBP 时间为 145 分钟。

图2. 通过左心房切除瓣膜下膜(通过内窥镜拍摄)
术后经过。
在重症监护病房治疗1 天,中级护理病房治疗 5 天后,患者于术后第 10 天出院。
评论
心脏移植后二尖瓣功能障碍的病例很少见。只有少数研究和病例报告提到二尖瓣修复,并主要是由二尖瓣反流所致。在一项回顾性研究中,有人首次描述了心脏移植后进行两年血液透析后狭窄的二尖瓣替代疗法。本病例首次报告了的关于腔内主动脉夹闭治疗瓣膜狭窄的微创二尖瓣替代术的研究。尽管全球在心脏移植领域拥有长期的经验,但对心脏移植受者的二次手术干预的数量却很少。据估计,心脏移植成功后再次手术的总体患病率在2%到5%之间。即使是大容量中心也只能记录少量的重复手术。
考虑到之前心脏移植后粘连的可能性很高,可以通过避免开胸手术来减少创伤或医源性损伤的危险。在心脏移植期间进行主动脉和肺动脉吻合后,更可能发生严重粘连。作者认为,在心脏移植期间大血管吻合后,通过三腔导管进行腔内主动脉夹闭以避免主动脉和肺动脉之间的严重粘连是一种安全的选择。使用腔内夹闭术的主要并发症为主动脉夹层、髂动脉损伤和脑血管事件。尽管如此,微创瓣膜手术在短期和长期预后中被认为是一种安全有效的方法,尤其是在重复手术中。
在一项大型回顾性研究中,有人表明肾功能不全是退行性二尖瓣狭窄的危险因素。在患有二尖瓣钙化的患者中,肾脏疾病在 50 岁以下的患者中更常见。作者认为患者因免疫抑制治疗而导致的肾功能不全是 10 年内二尖瓣变性的加重主要原因。
文献评价
文章探讨了在心脏移植后进行微创二尖瓣置换术的临床应用,其优点在于微创手术相较于传统开胸手术,能够显著减少手术创伤,缩短恢复时间,并降低术后并发症的发生率。这对于高风险患者尤其重要,因为在术后恢复过程中更容易出现并发症。此外,文章提供了具体的病例分析和术后结果,增加了研究的可信度。
然而,文章也存在一些缺点。首先,样本量可能较小,限制了结果的普遍适用性和统计学意义。其次,长期随访数据不足,无法全面评估手术的长期效果和潜在风险。此外,微创技术对外科医生的技能要求较高,可能限制了其在不同医疗机构的推广应用。总体而言,对临床实践具有积极的指导意义。
本期中文解读
郑子龙
/初稿
范成铭
/校审
范成铭,博士
The Thoracic and Cardiovascular Surgeon 编委
中南大学湘雅二医院
外科学博士,药学博士后,副研究员,博士研究生导师,中南大学湘雅二医院心血管外科主治医师,中华志愿者协会中西医结合专家志愿者委员会心外科专业组常务委员,中国研究型医院学会心脏瓣膜病专业委员会青年委员,湖南省医学会胸心血管外科学专业委员会青年委员,美国阿拉巴马大学伯明翰分校生物医学工程学系国家公派联合培养博士,中南大学十佳大学生、中南大学湘雅二医院青年岗位能手、十佳青年、湖南省卫生健康高层次人才,中南大学“升华学者计划”优秀青年人才。美国胸外科协会(AATS) Evarts A. Graham Memorial Traveling Fellowship 2023年获得者(首位获得该奖项的国内心外科医生,每年仅资助一名心外科医师)。美国Samuel and Jean Frankel心血管中心Fellow。荷兰Catharina医院心胸外科Fellow,比利时Cliniques universitaires Saint-Luc医院心胸血管外科Fellow。主持国家自然科学基金2项、湖南省优秀青年科研基金、湖南省优秀博士后基金各1项,先后获省优秀博士研究生学位论文奖、湖南省医学科技一等奖2项,科技进步二等奖1项,医学十大临床创新技术奖1项。主要研究方向为缺血性心脏病的细胞相关治疗研究,以第一或通讯作者身份在国内外学术期刊发表学术论文30余篇,现担任SCI期刊:Journal of the Renin-Angiotensin-Aldosterone System主编、Clinical and Experimental Hypertension主编,Journal of Cardiothoracic Surgery、BMC Bioinformatics副主编,Clinical Case Reports高级主编,European Journal of Medical Research副主编及心脏病学栏目主编,BioMed Research International、PLoS ONE、PeerJ学术主编,BMC Medicine、Reviews in Cardiovascular Medicine、Thoracic and Cardiovascular Surgeon、BMC Cardiovascular Disorders等多本SCI杂志编委。
The Thoracic and Cardiovascular Surgeon Reports (TCS Reports) 为开放获取期刊,出版与胸部和心血管研究具有重要临床相关性的病例报告,特别强调手术介入措施。TCS Reports 欢迎麻醉、心脏病学、生理学和病理学等胸外科和重症监护领域的投稿。
目标与范围
交流有关心脏、血管和胸部手术治疗的特殊或异常病例
报告胸部、血管和心血管手术中治疗管理的临床新方法
记录可能表明对现有疾病病因与发病机制有的新的或替代性理解的特定临床发现
对发表在母刊The Thoracic and Cardiovascular Surgeon上的研究成果和综述进行补充
促进与胸心血管外科护理相关专业和子专业之间更广泛的信息交流
在TCS Reports上的所有投稿均经过严格的同行盲评。鼓励提交图像和视频等补充资料。
