Minimally Invasive Correction of Failed Percutaneous Atrial Septal Closure with Device Embolization
对经皮房间隔闭合失败并伴有设备栓塞的微创矫正
Costa et al.
**中文内容仅供参考,一切以英文原文为准。
房间隔缺损(ASD)是成年期诊断的最常见的先天性心脏缺陷。尽管被认为是一个简单的缺陷,但在最佳诊断和治疗方案方面仍然存在挑战,特别是在缺陷较大的情况下。ASD与心律失常、右心衰竭、三尖瓣反流、血栓栓塞有关,甚至与偏头痛有关。
多年前,ASDs的经皮装置封堵术以其微创性和缩短的住院时间而成为传统手术封堵术的一种安全替代方案。King和Mills于1974年报道了首次成功的ASD经导管封堵术。尽管经导管封堵术安全有效,但并发症包括封堵器错位和移位、心律失常、空气栓塞和主动脉穿孔。封堵器移位是最常见的并发症之一,与中风和猝死有关。在这里,作者描述了一例微创手术治疗经皮房间隔封堵术失败并伴有封堵器栓塞的病例。
病例描述
一名57岁女性表现为进行性呼吸困难和反复发作的心房颤动。她接受了经食管超声心动图检查,诊断为直径4厘米的ASD,左向右分流,右心房中度增大。
由于ASD的大小,两个封堵器装置(Occlutech FiGulla 24和12 mm)植入了一个小的残余分流器。
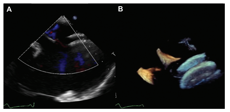
然而,三年后,她因劳累时心悸和呼吸困难入院,符合纽约心脏协会Ⅲ级标准。心电图显示持续性心房颤动。经食管超声心动图显示左向右残余分流,分流分数为43%,右心房增大,中度至重度三尖瓣反流,左心室射血分数为52%。令人惊讶的是,只有一个房间隔封堵器可见(►图1)。

图1. 术前超声心动图显示明显的心房分流(A)和单个封堵器的存在(B)。
胸部和腹部计算机断层扫描(CT)显示封堵器移位并栓塞至肠系膜上动脉,导致其完全闭塞,但有重要的侧支循环过程,没有器官缺血或症状的迹象(►图2)。患者向作者所在中心咨询了微创手术方法。采用腹股沟插管进行体外循环(CPB)的经典微创方法在建立通过股动脉的逆行CPB血流后,因封堵器再脱位的风险而受到挑战。因此,作者决定采用中央动脉插管和外周静脉引流的微创前胸手术。

图2. 计算机断层扫描的数字重建显示了肠系膜上动脉完全闭塞后腹部血管侧支化的重要过程(封堵器用白色表示)。
CPB在股静脉插管后开始,使用25-Fr两阶段(Edwards Lifesciences)插管进行上下腔静脉引流。在右内乳外侧的第四肋间进行一个4厘米的皮肤切口。然后使用Seldinger技术将主动脉套管(Edwards Lifesciences)放置在上升主动脉中。CPB开始后,用Bretschneider 心脏停搏液交叉夹闭后心脏停止跳动。在完全旁路中,打开右心房并取出封堵器。大型ASD允许进入左心房。左心耳从内部直接缝合闭合,并进行箱形病变冷冻消融。ASD用4×3厘米的自体心包贴片闭合(►图3A)。搭桥时间为136分钟,主动脉交叉钳夹时间为71分钟。使用28毫米的SimuPlus瓣环成形术在跳动的心脏入路中移除主动脉交叉夹后修复三尖瓣(►图3B)。移位的封堵器留在原位。总操作时间为213分钟。

图3. 术中图像显示了中央动脉插管和心房大面积暴露的手术入路(A)、跳动心脏入路中三尖瓣修复的最终结果(B)以及无三尖瓣反流(C)。
术中经食管超声心动图显示ASD已矫正,无残留分流和三尖瓣反流(►图3C)。患者术后临床效果良好,无并发症,术后4天出院回家。
讨论
作者介绍了一名57岁女性患者经皮ASD闭合失败的微创手术矫正病例,该患者患有残留ASD、三尖瓣反流、心房颤和肠系膜上动脉的两个封堵器之一栓塞。作者的手术方法包括前外侧小切口开胸术、主动脉和股静脉插管、冷冻消融、心脏装置移除、自体心包闭合ASD和三尖瓣修复。手术顺利进行,患者在术后第4天出院回家。
随着心房封堵器的出现,ASD患者已经在传统心脏外科手术中相对少见。然而,如果缺损太大,封堵器可能无法消除整个ASD,并且由于脱位和栓塞的高风险,不建议使用多个封堵器。
在这里,手术矫正仍然是一种选择,但在大多数情况下,经典的胸骨切开术已被用作方法。在作者的案例中,ASD很大,干预医生最初决定同时使用两个封堵器,虽然最初的结果是可以接受的,但几年后计划中的心房消融手术的检查显示,由于其中两个封堵器之一的移位和栓塞,ASD复发。CT成像定位了移位到腹主动脉的封堵器,导致肠系膜上动脉完全闭塞。幸运的是,闭塞并没有导致临床症状。
由于微创入路主要需要腹股沟插管,降主动脉的血流逆转造成了装置重新栓塞回主动脉弓的风险。为了避免这种风险,作者决定在动脉灌注管路中使用中央插管。通过单肺通气下,作者打开右胸,打开心包,并使用Seldinger技术将主动脉插管通过两条荷包缝合线放入远端升主动脉。CPB成功建立后,常规通过夹闭主动脉、完全旁路打开右心房、取出剩余的一个设备、进行冷冻消融左心耳闭塞、ASD贴片闭合和三尖瓣修复。
通过微创入路进行这一手术已成为作者所在的中心的惯例,并且不会带来重大的手术挑战。自体心包可以在手术开始时获得,ASD从侧面暴露完全足以控制整个手术。栓塞封堵器的具体挑战是通过中央插管来解决的,这需要单肺通气,这是作者日常生活中唯一的额外改变。
ASD患者常伴有心房颤动,在ASD手术结束时对附加消融程序进行了讨论。在此病例中,作者用翻转床垫缝合术和第二层以上封堵术从左心耳内关闭左心耳。病例结束时,无左心耳残留的证据,患者处于窦性心律,三尖瓣功能正常。
这个病例表明,通过微创通路可以手术矫正大型ASD和相关心脏问题,而无需对这些病例进行胸骨切开术。
评价
该研究展示了一例经皮房间隔缺损闭合失败的微创手术矫正病例。作者详细描述了手术过程和技术,突出了微创手术对于大型ASD和相关心脏问题的治疗效果。此外,作者还强调了微创手术相对于传统手术的优势,如较小的创伤和更快的康复。建议作者可以进一步探讨手术相关并发症的预防策略,以及对术后长期疗效的跟踪和评估,以完善手术方案的安全性和有效性。
本期中文解读
阳茜雅
/初稿
涂 治
/初审
范成铭
/校审
范成铭,博士
The Thoracic and Cardiovascular Surgeon 编委
中南大学湘雅二医院
外科学博士,药学博士后,副研究员,博士研究生导师,中南大学湘雅二医院心血管外科主治医师,中华志愿者协会中西医结合专家志愿者委员会心外科专业组常务委员,中国研究型医院学会心脏瓣膜病专业委员会青年委员,湖南省医学会胸心血管外科学专业委员会青年委员,美国阿拉巴马大学伯明翰分校生物医学工程学系国家公派联合培养博士,中南大学十佳大学生、中南大学湘雅二医院青年岗位能手、十佳青年、湖南省卫生健康高层次人才,中南大学“升华学者计划”优秀青年人才。美国胸外科协会(AATS) Evarts A. Graham Memorial Traveling Fellowship 2023年获得者(首位获得该奖项的国内心外科医生,每年仅资助一名心外科医师)。美国Samuel and Jean Frankel心血管中心Fellow。荷兰Catharina医院心胸外科Fellow,比利时Cliniques universitaires Saint-Luc医院心胸血管外科Fellow。主持国家自然科学基金2项、湖南省优秀青年科研基金、湖南省优秀博士后基金各1项,先后获省优秀博士研究生学位论文奖、湖南省医学科技一等奖2项,科技进步二等奖1项,医学十大临床创新技术奖1项。主要研究方向为缺血性心脏病的细胞相关治疗研究,以第一或通讯作者身份在国内外学术期刊发表学术论文30余篇,现担任SCI期刊:Journal of the Renin-Angiotensin-Aldosterone System主编、Clinical and Experimental Hypertension主编,Journal of Cardiothoracic Surgery、BMC Bioinformatics副主编,Clinical Case Reports高级主编,European Journal of Medical Research副主编及心脏病学栏目主编,BioMed Research International、PLoS ONE、PeerJ学术主编,BMC Medicine、Reviews in Cardiovascular Medicine、Thoracic and Cardiovascular Surgeon、BMC Cardiovascular Disorders等多本SCI杂志编委。
The Thoracic and Cardiovascular Surgeon Reports (TCS Reports) 为开放获取期刊,出版与胸部和心血管研究具有重要临床相关性的病例报告,特别强调手术介入措施。TCS Reports 欢迎麻醉、心脏病学、生理学和病理学等胸外科和重症监护领域的投稿。
目标与范围
交流有关心脏、血管和胸部手术治疗的特殊或异常病例
报告胸部、血管和心血管手术中治疗管理的临床新方法
记录可能表明对现有疾病病因与发病机制有的新的或替代性理解的特定临床发现
对发表在母刊The Thoracic and Cardiovascular Surgeon上的研究成果和综述进行补充
促进与胸心血管外科护理相关专业和子专业之间更广泛的信息交流
在TCS Reports上的所有投稿均经过严格的同行盲评。鼓励提交图像和视频等补充资料。
